대구지하철 생존자 정신충격 ‘뇌손상’ 확인

대구지하철 생존자 정신충격 ‘뇌손상’ 확인

입력 2005-04-21 00:00
수정 2005-04-21 07:51
  • 기사 읽어주기
    다시듣기
  • 글씨 크기 조절
  • 댓글
    0
2003년 2월 대구 지하철 방화 참사 당시 생존자들이 정신적인 충격으로 뇌손상을 입은 사실이 임상의학적으로 처음 밝혀졌다.

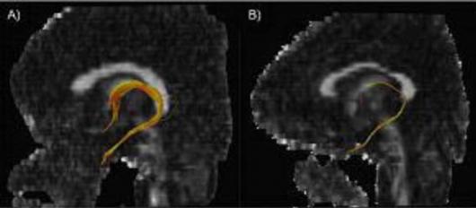
일반인의 뇌(왼쪽)와 대구 지하철 참사 생존…
일반인의 뇌(왼쪽)와 대구 지하철 참사 생존… 일반인의 뇌(왼쪽)와 대구 지하철 참사 생존자의 손상된 뇌를 단층 촬영한 사진.생존자의 영상에서는 공포와 감정을 조절하는 신경회로(노란색)가 일반인에 비해 3분의1 수준으로 수축돼 있다.

서울대병원 제공
서울대병원 신경정신과 류인균 교수는 20일 “지난해 11월부터 3개월 동안 외상후 스트레스 장애를 겪고 있는 당시 생존자 20여명의 뇌를 단층촬영한 결과 감정과 공포를 조절하는 신경 부분이 일반인에 비해 심하게 손상된 사실을 확인했다.”고 밝혔다. 실제 류 교수가 공개한 생존자들의 뇌 단층촬영 화면에서는 감정과 공포를 조절하고 문제해결 능력을 관장하는 대뇌의 전두엽과 측두엽 부분이 심하게 훼손된 것으로 나타났다. 이에 따라 생존자들은 작은 충격이나 공포에도 심하게 놀라거나 외부 자극에 반응을 제때 하지 못하고 멍해지는 현상을 보인다는 것이다. 또 이들의 뇌세포 수나 크기가 줄어 밀도가 낮았으며, 뇌에 공급되는 피와 산소량도 특정 부위에서는 일반인보다 많고, 다른 부위에서는 적은 이상 현상이 확인됐다. 이같은 혈류량의 이상은 감정조절과 언어능력, 촉각·시각·청각 등 감각능력을 떨어뜨리게 된다.

외상후 스트레스 장애는 전쟁·강간·살인 등 개인적으로 충격적인 사건이나 재난을 겪었을 때 나타난다. 류 교수는 “당시 생존자들은 외상후 스트레스 장애 가능성을 높이는 요인인 어둠과 독가스, 화재 등에 동시에 노출됐다.”면서 “이들은 아직도 사고 당시 옆에 앉았던 아이가 ‘엄마, 맵고 숨막혀.’라고 하던 환청이 들린다고 호소하는 등 불안감을 보이고 있다.”고 말했다. 류 교수는 “그렇다고 이들의 뇌가 영구적으로 망가진 것은 아니며, 상담과 약물 치료 등으로 상태가 호전될 가능성은 남아 있다.”고 밝혔다.

전문가들은 사고 직후 충분한 상담과 치료를 받았다면 뇌손상을 줄일 수 있었을 것이라고 지적했다. 서울간호대 최남희 교수는 “원인 규명이 필요하지만 생존자 145명 가운데 2명이 암으로 사망하는 등 재난의 후속 대책과 연구가 전무한 게 우리 현실”이라고 지적했다.

류 교수는 22일 서울의대 동창회관에서 열리는 학술심포지엄 ‘위험사회와 재난’에서 이같은 연구 결과를 발표할 예정이다.

홍희경기자 saloo@seoul.co.kr
2005-04-21 22면
Copyright ⓒ 서울신문 All rights reserved. 무단 전재-재배포, AI 학습 및 활용 금지
close button
많이 본 뉴스
1 / 3
일상 및 업무 내 AI 서비스 활용 비중은 어느 정도입니까?
일상 및 업무 내 AI 서비스 활용 비중은 어느 정도입니까?
일과 대부분을 AI와 병행한다.
단순 참고용으로 간헐적 활용한다.
거의 활용하지 않거나 직접 수행하는 방식이 우선이다.
지난 Poll
-->
광고삭제
광고삭제
위로