C형 간염은 ‘유사 에이즈’

C형 간염은 ‘유사 에이즈’

심재억 기자
입력 2006-03-13 00:00
수정 2006-03-13 00:00
  • 기사 읽어주기
    다시듣기
  • 글씨 크기 조절
  • 댓글
    0
흔히 간세포가 손상을 입고 망가져 염증이 생긴 상태를 간염이라고 한다. 하지만 간염도 바이러스의 종류에 따라 각각 다르다. 우리가 기억하기 쉽게 A·B·C·D·E·G형으로 나눠 부르는 게 바로 바이러스의 종류에 따른 구분이다. 이 6종의 간염 바이러스 중 만성간염, 간경변과 간암 등 만성 간질환을 유발하는 것은 B형과 C형인데 B형은 우리나라 전 인구의 5∼8%가 보유할 만큼 흔해 국민 건강의 공적으로 꼽힌다.B형을 비롯, 대표적인 간염인 A·C형 간염의 증상 및 예방·치료법을 살펴보자.

전염력 강한 A형 세계적으로 발병 건수가 매년 150만 건에 이르는 A형은 오염된 음식물, 식수와 개인접촉 등으로 전파되는 수인성 전염병. 단체생활을 하는 5∼14세 연령대에 많아 보고된 환자의 30%가량이 15세 이하이다.

이미지 확대
특히 90년대 중반 이후 이 연령대의 A형 간염 항체보유율이 10% 이하로 급격히 떨어지고 있다.70∼80년대에는 10세 이상 성인 대부분이 항체를 갖고 있었으나, 위생 환경이 좋아지면서 면역성을 갖지 못한 계층이 늘어나 그만큼 감염 확률이 높다.

A형은 환자의 간세포에 있는 바이러스가 대변과 함께 배설되어 식수나 음식물을 통해 발병한다. 따라서 군대나 학교 등 집단생활을 하는 곳이나 대인 접촉이 빈번하고, 위생 상태가 좋지 않은 곳에서 생활하는 사람들, 해외 전염지역을 여행하는 사람들은 특히 주의해야 한다.

일단 감염되면 발열, 복통, 구토, 설사와 함께 변의 색깔이 하얗게 되고, 오줌 색이 짙어지면서 피부가 노랗게 변하는 황달을 동반하는 것이 일반적 증상이다. 아직 치료법이 없어 무엇보다 예방이 중요하다. 초등학교 취학 자녀를 둔 학부모들은 미리 A형 간염 예방접종을 받으면 걱정을 덜 수 있다.

이미지 확대
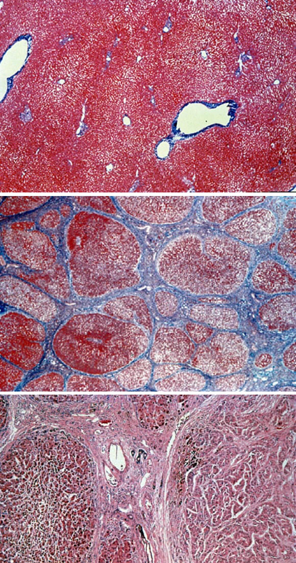
건강한 간 조직. 간경변증으로 악화된 간 조직. 간암으로 악화된 간 조직(위부터).
건강한 간 조직. 간경변증으로 악화된 간 조직. 간암으로 악화된 간 조직(위부터).
간암의 지름길 B형 만성 B형 간염은 세계적으로 가장 흔한 감염성 질환에 속한다. 그런가 하면 특별한 증상 없이 간암으로 발전하는 무서운 질병이어서 평소 각별한 관심이 필요하다.

B형 간염은 바이러스를 가진 어머니에서 출산을 전후해 자녀에게 전염되는 수직감염이 가장 흔하며, 이 때 바이러스에 감염되면 90% 이상이 만성화한다. 이밖에 가족, 부부 등 잦은 접촉 또는 성관계를 갖는 사이거나 오염된 혈액이 묻은 주사바늘이나 감염된 혈액을 수혈받을 때도 전염된다. 혈액뿐 아니라 정액, 타액 등 체액을 통해서도 전염되기 때문에 가족간에도 칫솔, 면도기 등 개인 위생용품을 함께 쓰지 않아야 한다.

B형의 대표적인 증상은 책을 보기 어려울 만큼의 피로감과 무력증, 식욕부진, 의욕상실, 두통. 여기에 소화불량, 상복부 불편감 등 소화기 증상을 호소하는 경우도 있다.

B형은 합병증 사망원인이 전체 사망원인 2위에 오를 만큼 치명적인 질환이다. 특히 B형 간염이 무서운 것은 수직감염의 경우 소아 때까지는 무증상으로 바이러스만 보유하고 있다가 성인이 된 이후 간경변증이나 간암으로 급격히 진행하기 때문. 실제 간암 환자의 50∼70%가 B형 간염이 원인이기 때문에 평소 자신이 B형 간염 항체를 가졌는지를 확인해 백신 접종이나 정기 검진을 통해 항바이러스제 복용 등으로 적절히 대처해야 한다.

유사 에이즈 C형 B형은 최근 들어 꾸준한 백신 접종으로 환자가 줄고 있지만 C형은 예방백신이 없는 데다 바이러스가 돌연변이를 잘해 자연치유도 어렵고, 환자도 계속 늘고 있다. 이 때문에 의사들은 C형을 ‘유사 에이즈’라고도 부른다.

C형은 주로 수혈이나 성행위, 비위생적인 주사 등을 통해 감염되므로 소독되지 않은 주사나 침을 맞지 않아야 하며 문신, 피어싱 등도 조심해야 한다.C형도 B형처럼 대부분 자각증세 없이 진행되므로 정기 검진을 통해 항체 보유 여부를 확인해야 한다.

도움말 대한간학회

심재억기자 jeshim@seoul.co.kr
2006-03-13 21면
Copyright ⓒ 서울신문 All rights reserved. 무단 전재-재배포, AI 학습 및 활용 금지
close button
많이 본 뉴스
1 / 3
탈모약에 대한 건강보험 적용 어떻게 생각하시나요?
이재명 대통령이 보건복지부 업무보고에서 “탈모는 생존의 문제”라며 보건복지부에 탈모 치료제 건강보험 적용을 검토하라고 지시했다. 대통령의 발언을 계기로 탈모를 질병으로 볼 것인지, 미용의 영역으로 볼 것인지를 둘러싼 논쟁이 정치권과 의료계, 온라인 커뮤니티로 빠르게 확산하고 있다. 당신의 생각은?
1. 건강보험 적용이 돼야한다.
2. 건강보험 적용을 해선 안된다.
광고삭제
광고삭제
위로